
La colecistectomía laparoscópica es uno de los procedimientos quirúrgicos más comunes en la actualidad. En los Estados Unidos, aproximadamente 700 mil colecistectomías se realizan anualmente, el 70% de las cuales se llevan a cabo por vía laparoscópica. La morbilidad postoperatoria, mortalidad y estancia hospitalaria se reducen con la colecistectomía laparoscópica, por lo cual ha tomado el lugar de la colecistectomía abierta como el procedimiento operativo estándar para colecistitis [1]; sin embargo, conlleva una mayor incidencia de lesión de la vía biliar, debido a que el procedimiento laparoscópico ofrece una limitada visibilidad en tres dimensiones y en el sentido táctil [2–5].
Por otra parte, las anomalías y variaciones anatómicas de los conductos biliares y del sistema vascular representan retos operatorios y un riesgo para complicaciones posoperatorias. Las anomalías de los segmentos hepáticos derechos representan un 20% de las variantes anatómicas biliares. Sin embargo, la total independencia de un segmento hepático o de un sector supone sólo un 2% de las malformaciones congénitas del árbol biliar. Aunque un conducto hepático aberrante que desemboca en el conducto cístico no es especialmente raro, el conducto hepático derecho que desemboca en el conducto cístico es extremadamente infrecuente, con sólo seis casos reportados hasta el momento [6, 7].
Forma de citar este artículo:
Moreno-Roca A, López-Ayala C, Jimbo- Sotomayor R. Conducto biliar aberrante del segmento VI con terminación a nivel del conducto cístico: reporte de caso. Rev Med Vozandes 2015; 26: 68 – 70.
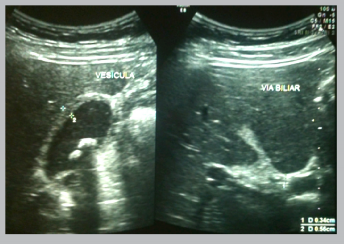
Paciente masculino de 30 años de edad con diagnóstico de colelitiasis desde hace dos años en los cuales ha presentado varios episodios de dolor en hemiabdomen superior derecho. Acudió a la sala de emergencia de Hospital Carlos Andrade Marín con dolor abdominal tipo cólico de doce horas de evolución, de intensidad 8/10, localizado en epigastrio e hipocondrio derecho, acompañado de vómito por varias ocasiones. Por el cuadro el paciente se había automedicado analgésicos sin que ceda el dolor. No refiere ictericia, acolia, ni coluria. Al examen físico sus signos vitales se encontraron estables. Los hallazgos positivos fueron: dolor a la palpación en hipocondrio derecho, Signo de Murphy (+) y resto de examen normal. Se realizaron exámenes complementarios que demostraron leucocitosis con neutrofilia, función renal y hepática normales; el ultrasonido abdominal reportó colelitiasis con cálculos de 11 y 12 mm de diámetro, paredes de vesícula engrosadas y vías biliares intra y extra hepáticas no dilatadas; foto 1.
Se programó una colecistectomía laparoscópica, durante la cual se encontró como hallazgos una vesícula de paredes gruesas, distendida, de 7x4x3 cm de diámetro, emplastronada con epiplón; conducto cístico fino y corto; y se evidenció la presencia de un conducto del segmento VI anómalo con terminación a nivel del conducto cístico; foto 2. No se presentaron complicaciones durante la cirugía y la evolución post- quirúrgica fue favorable. Se realizó una colangioresonancia de control dos semanas después de la cirugía, la cual demostró un conducto hepático funcional que drenaba el segmento hepático VI; foto 3.
Andrés Moreno-Roca 1
Carlos López-Ayala 2
Ruth Jimbo-Sotomayor 3
![]()
![]()
Este artículo está bajo una licencia de Creative
Commons de tipo Recono- cimiento – No comercial
– Sin obras derivadas 4.0 International
![]()
Médico, Postgradista R5 de Cirugía General; Hospital Carlos Andrade Marín.
Medico, Tratante del Servicio de Cirugía General; Hospital Carlos Andrade Marín.
Medico Familiar; Pontificia Universidad Católica del Ecuador.
Correspondencia: Dr. Andrés Moreno
E-mail: a_morenor@yahoo.es
![]()
Recibido: 04 – Septiembre – 2015
Aceptado: 29 – Septiembre – 2015
![]()
Palabras clave: Anomalías de la vía biliar, Conducto biliar aberrante, Conducto hepáti- co accesorio, Colecistectomía laparoscópica, Reporte de caso.
![]()
Revista Médica Vozandes Volumen 26, Número 1, 2015
68


Foto 1 Ultrasonido abdominal. se observa colelitiasis con cálculos de 11 y 12 mm de diámetro, paredes de vesí- cula engrosadas y vías biliares intra y extra hepáticas no dilatadas.
Se considera la presencia de un conducto biliar aberrante cuando el drenaje de un sector o segmento hepático no presenta comunicación con el resto del árbol biliar. En reportes cadavéricos se ha encontrado que la frecuencia de conductos biliares aberrantes es del 14% al 28% [6]. Esta constituye la anomalía más importante y de trascendencia en relación a las lesiones iatrogénicas, por cuanto su ligadura o sección implica una complicación de muy difícil diagnóstico y que exige una reconstrucción quirúrgica compleja [7 8].

Foto 2 Colecistectomía laparoscópica. se observa una vesícula distendida; conducto cístico fino y corto; y la presencia de un conducto del segmento VI anómalo con terminación a nivel del conducto cístico.
En un estudio que incluyó 100 mil pacientes sometidos a colecistectomía durante el período 1992 a 2001, se encontró que tres pacientes tuvieron un conducto hepático derecho accesorio y en uno de estos pacientes el conducto hepático derecho drenó en el conducto cístico [9]. Ante la sospecha o confirmación de un conducto biliar aberrante se considera realizar una colangiografía intraoperatoria que confirme el mapa real del árbol biliar intrahepático [10].
Las consecuencias de las lesiones de la vía biliar podrían tener graves repercusiones para algunos de los pacientes, debido al riesgo de secuelas a largo plazo (estenosis del conducto biliar común con colangitis a repetición); además, este tipo de lesiones representan una carga económica para la sociedad y un alto índice de demandas médico legales [3]. Además de una anomalía biliar aberrante, otros factores de riesgo para que ocurra una lesión quirúrgica de la vía biliar son el sexo masculino, edad avanzada, colecistitis y colecistectomía laparoscópica [11]. Un buen dominio anatómico durante una colecistectomía, implica conocer las complejas relaciones entre la arteria hepática, el árbol biliar extra-hepático y la vesícula biliar, para prevenir lesiones del tracto biliar. De igual forma es importante conocer y entender las variaciones congénitas de la vía biliar y sus implicaciones quirúrgicas.

Foto 3 Colangioresonancia de control. se observa un conducto hepático funcional que drena el segmento hepático VI.
Los autores declaran no poseer conflictos de interés personales, profesionales ni financieras con el tema en referencia.
Al servicio de cirugía general del Hospital Carlos Andra- de Marín
Estudio financiado con fondos propios de los autores.
AM: idea y diseño, documentación del caso; interpretación; redacción del artículo. CL: revisión crítica con aporte al contenido del artículo y aprobación de la versión final. RJ: redacción del artículo y revisión crítica del contenido.
![]()
Revista Médica Vozandes Volumen 26, Número 1, 2015
69
Hemorragia subaracnoidea no traumática: Douce R, et. al.
revisión general (...)

Conducto biliar aberrante del segmento VI con termi- nación a nivel del conducto cístico: reporte de caso
Coccolini F, Catena F, Pisano M, Gheza F, Fagiuoli S, Di Saverio S, et al. Open versus laparoscopic cholecystectomy in acute cholecystitis. Systematic review and meta- analysis. Int J Surg 2015; 18: 196 – 204.
Karvonen J, Salminen P, Grönroos JM. Bile duct injuries during open and laparoscopic cholecystectomy in the laparoscopic era: alarming trends. Surg Endosc 2011; 25: 2906 – 10.
Viste A, Horn A, Øvrebø K, Christensen B, Angelsen JH, Hoem D. Bile duct injuries following laparoscopic cholecystectomy. Scand J Surg 2015; 104: 233 – 37.
Ahrendt SA, Pitt HA. Surgical therapy of iatrogenic lesions of biliary tract. World J Surg 2001; 25: 1360 – 65.
Ohtsuka T, Chijiiwa K, Yamaguchi K, Akashi
Y, Matsunaga H, Miyoshi A. Posterior hepatic duct injury during laparoscopic cholecystectomy finally necessitating hepatic resection: case report. JSLS; 3: 323
– 26.
Lamah M, Karanjia ND, Dickson GH. Anatomical variations of the extrahepatic biliary tree: review of the world literature. Clin Anat 2001; 14: 167 – 72.
Nomura T, Shirai Y, Sasagawa M, Wakai T, Hatakeyama K. Anomalous insertion of the right hepatic duct into the cystic duct: report of a case diagnosed before laparoscopic cholecystectomy. Surg Laparosc Endosc Percutan Tech 1999; 9: 211 – 12.
Gómez-Portilla A, Romero-Pujana E, Martín E, Martínez de Lecea C, Magrach L, Olabarria I, et al. Lesión iatrogénica de un conducto aberrante del sectorial
anterior derecho hepático (segmentos V-VIII) independiente: dificultades en su diagnóstico y tratamiento. Rev Esp Enferm Dig 2008; 100: 113 – 15.
Li JH, Zheng CZ, Ke CW, Yin K. Management of aberrant bile duct during laparoscopic cholecystectomy. Hepatobiliary Pancreat Dis Int 2002; 1: 438 – 41.
Kullman E, Borch K, Lindström E, Svanvik J, Anderberg B. Value of routine intraoperative cholangiography in detecting aberrant bile ducts and bile duct injuries during laparoscopic cholecystectomy. Br J Surg 1996; 83: 171 – 75.
Fullum TM, Downing SR, Ortega G, Chang DC, Oyetunji TA, Van Kirk K, et al. Is laparoscopy a risk factor for bile duct injury during cholecystectomy? JSLS 2013; 17: 365 – 70.
![]()
Revista Médica Vozandes Volumen 26, Número 1, 2015
70